Ещё 30 лет назад никто всерьёз не интересовался этим маленьким и несимпатичным африканским грызуном, а сейчас ему посвящают сотни статей в год. И недаром: наш герой не стареет, не болеет, почти не дышит и не размножается. Что ещё мы узнали за 30 лет изучения этого зверька?
- Крошечные глаза реагируют только на свет и тьму
Морщинистая кожа помогает свободно маневрировать в тесных туннелях - Слух острый, хотя ушные раковины отсутствуют
- Губы смыкаются за зубами, поэтому земля во время рытья не попадает в рот
- Короткие конечности позволяют бегать вперёд и назад с одинаковой скоростью
ДОСЬЕ НА ГЕРОЯ
ИМЯ: Heterocephalus glaber
МЕСТО ОБИТАНИЯ: Восточная Африка
ЖИЛИЩНЫЕ УСЛОВИЯ: подземные галереи
ПИТАНИЕ: вегетарианец, предпочитает корни и клубни
ДЛИНА ТЕЛА: 8–10 см
СУПЕРСПОСОБНОСТИ
- Живёт в 10 раз дольше, чем другие грызуны — до 32 лет в неволе.
- Крайне устойчив к онкологическим, сердечно-сосудистым и нейродегенеративным заболеваниям.
- Легко справляется с гипоксией: может жить без кислорода до 20 минут.
- Кожа нечувствительна к боли, химическим и термическим ожогам.
- Почти не стареет: риск смерти не увеличивается с возрастом, способность к размножению не снижается, выглядит одинаково симпатично в течение всей жизни.
ЗНАКОМЬТЕСЬ: ЗЕМЛЕКОП
Если вы хоть раз видели голого землекопа, то уже не забудете: лысое тело, сморщенная кожа, редкие волоски на морде, прищуренные глазки и острые зубы. Напоминает маленькую (8–10 см) недоразвитую крысу. Однако так выглядит вполне себе взрослая особь, а живёт она подольше любой крысы — в лабораторных условиях до 30 лет (крыса же в среднем 3 года). Возможно, землекопы живут и дольше, но так как изучают их всего 30 лет, данные о пределе долголетия взять неоткуда.
Обитают землекопы на востоке Африки под землёй и крайне редко поднимаются на поверхность. Поэтому у них плохо развито зрение, зато слух острый. Дома землекопов состоят из длинных туннелей, где они ищут подземные части растений — сочные клубни и луковицы. Жить на глубине безопасно: туда не добираются его враги. Обычную мышь или крысу в природе быстро съедают, поэтому им невыгодно вкладывать ресурсы в поддержание организма в «рабочем состоянии». Зато выгодно быстро размножаться, чем они и занимаются. Землекопа съесть некому, и он, казалось бы, может позволить себе долгую жизнь. Но в естественных условиях она такой бывает редко: большинство зверьков гибнет от лап и зубов сородичей, не успевая поставить рекорд долгожительства.
ВЛАСТЬ ЭЛИТЫ
Ещё одна важная особенность землекопов — их социальная структура. Зверьки живут колониями по несколько десятков или сотен особей. При этом они эусоциальны, то есть обязанности в колонии распределены между отдельными группами животных. Такая организация общества часто встречается у беспозвоночных (например, у муравьёв и пчёл), а среди млекопитающих эусоциальных вида всего три. Это голый землекоп, его близкий родственник дамарский пескорой и человек.
Распределение обязанностей между землекопами выглядит крайне несправедливым. Размножением занимается «элита» — самка-производительница и несколько самцов. Остальные особи эту элиту обслуживают: роют ходы, добывают пищу и воспитывают потомство. Но не участвуют в размножении.
Недавно удалось выяснить, как самка заставляет рабочих воспитывать своё (то есть чужое для них) потомство. Оказалось, что она выделяет гормоны беременности вместе с непереваренными отходами. А голые землекопы — копрофаги, потому что живут скученно в замкнутом пространстве. В результате рабочие самки поедают кал самки-производительницы и получают дозу гормонов, которые действуют на их мозг и включают родительское поведение.
Считается, что эусоциальность тоже внесла свой вклад в долгожительство землекопов. Рабочие особи не участвуют в размножении, а значит, не передают гены по наследству. Но если кто-нибудь из элиты гибнет, у рядового грызуна появляется шанс занять его место. Поэтому им выгодно жить как можно дольше: есть вероятность дождаться звёздного часа и оставить потомство.
ЭУСОЦИАЛЬНЫЕ МЛЕКОПИТАЮЩИЕ:
- ГОЛЫЙ ЗЕМЛЕКОП
- ДАМАРСКИЙ ПЕСКОРОЙ
- ЧЕЛОВЕК
ОТЧЕГО СТАРЕЮТ КЛЕТКИ
Многоклеточный организм изнашивается не целиком, а по частям: в тканях накапливаются старые, или сенесцентные, клетки, которые утратили основные функции. Обнаружить такие клетки можно разными способами, самый распространённый — окрашивание на β-галактозидазу. Это один из пищеварительных ферментов, который накапливается в стареющих клетках (вероятно, чтобы расщеплять повреждённые молекулы). Поэтому, если «скормить» клеткам вещество, которое окрашивается при расщеплении β-галактозидазой, и подкислить среду, сенесцентные клетки окрасятся характерным синим цветом. Если покрасить таким образом ткани голого землекопа, то выяснится, что отдельные сенесцентные клетки в его организме с возрастом всё же появляются. Но их гораздо меньше, чем у близких родственников — мышей. Что же делает клетки землекопа устойчивыми? Чтобы ответить на этот вопрос, нужно понимать, что заставляет клетки стареть.
Старение — комплексный процесс, на который влияет множество факторов. Первый — поломки в ДНК, накапливающиеся по мере деления клеток. Ни одна биологическая система не работает безошибочно, и каждый раз при копировании ДНК добавляется несколько мутаций или разрывов. А ещё вредители канцерогены — вещества, которые попадают в организм и встраиваются в молекулу ДНК или разрушают её структуру. Второй фактор старения — поломки в белках и структурных молекулах клетки. Они возникают под действием свободных радикалов — химически активных молекул, образующихся в митохондриях из кислорода. Когда клетка дышит, то есть получает энергию, она разлагает большие молекулы на маленькие части. Кислород нужен, чтобы забирать образующиеся с водой протоны и электроны; это позволяет получать энергию без остановок. Но иногда (поскольку ни одна система не работает без ошибок) кислород забирает только один электрон и превращается в свободный радикал.
Он атакует другие молекулы, отнимая у них по электрону, и они тоже становятся радикалами. Запускается цепная реакция, в которой страдает множество клеточных структур, — окислительный стресс.
В небольших количествах стресс неизбежен, поскольку клетке необходимо дышать. Можно сказать, что свободные радикалы — это плата за высокоэффективный энергетический обмен. Но в больших количествах они приводят к накоплению поломанных белков и превращают клетку в сенесцентную.
Наконец, третий фактор — интенсивный обмен веществ. Чем больше белков строит клетка, тем больше ей требуется энергии и, следовательно, тем выше окислительный стресс. Поэтому немалую роль в старении играют белки, которые стимулируют клеточную активность, в частности инсулин (заставляет клетку захватывать глюкозу — основной источник энергии) и гормон роста (заставляет клетку строить белки). Получается, что полезные, казалось бы, процессы оказываются для клетки одновременно губительными.
В ПОИСКАХ СЕНЕСЦЕНТНЫХ КЛЕТОК
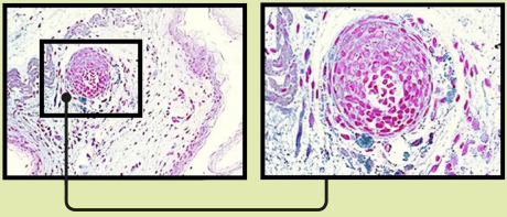
Голых землекопов часто называют «животными, которые не стареют». Но значит ли это, что механизмы старения у них полностью отключены? Авторы статьи* в журнале The Proceedings of the National Academy of Sciences выяснили, что у землекопов можно обнаружить отдельные элементы старения — сенесцентные клетки. Авторы окрашивали гистологические препараты землекопов на β-галактозидазу. На всех снимках видны области или отдельные клетки, окрашенные синим, — это признак старых клеток.
Пальцы

Кожа

Срез пальца и увеличенные снимки области ногтевого ложа



Срез и увеличенные снимки (справа) кожи и волосяного фолликула
*Zhao Y, et al. (2018) Naked mole rats can undergo developmental, oncogene-induced and DNA damage-induced cellular senescence. PNAS 115(8):1801–1806
СЕКРЕТЫ ВЕЧНОЙ МОЛОДОСТИ
Как голому землекопу удаётся справиться со всеми этими факторами?
Учёные полагают, что важную роль здесь играет место обитания. В подземных туннелях темно, прохладно и мало воздуха. Этот набор некомфортных на первый взгляд условий и оказывается спасительным для клеток грызуна. Темнота означает отсутствие ультрафиолета — опасного канцерогена. Низкое содержание кислорода в воздухе способствует уменьшению окислительного стресса и свободных радикалов. Правда, землекоп и энергии получает меньше. Поэтому его обмен веществ замедлен по сравнению с мышами и крысами. Землекопы даже в некоторой степени холоднокровны: они не могут поддерживать постоянную температуру тела и вынуждены греться, собираясь в группы.
Ещё один секрет африканского зверька — пониженная чувствительность к инсулину по сравнению с другими грызунами. Из-за этого клетки землекопа получают меньше глюкозы, а значит, и свободных радикалов. То есть перед нами очень экономное, особенно на клеточном уровне, существо: меньше еды, меньше кислорода, ниже температура — меньше стресс!
ЗЕМЛЕКОП ПРОТИВ РАКА
Кроме продолжительности жизни землекоп знаменит ещё и устойчивостью ко многим возрастным заболеваниям. Например, он не страдает от сосудистых патологий (инфаркт, инсульт, атеросклероз и др.), которые у людей являются самой распространённой причиной смерти. Скорее всего, это объясняется низким уровнем окислительного стресса, потому что без свободных радикалов не обходится ни одно воспаление, в том числе в сосудах. Ещё более неожиданным оказалось то, что землекоп не болеет раком. За 30 лет содержания этих животных в лабораториях было описано лишь два случая развития опухоли.
На данный момент выявлены два механизма, с помощью которых землекоп борется с раком. Первый — защита от неконтролируемого деления. В клетках других млекопитающих есть только один защитный белок — р53. Он реагирует на любые повреждения ДНК и останавливает деление клетки, а иногда даже запускает программу клеточной гибели (апоптоз). Если в этом белке возникает повреждающая мутация, клетку уже ничто не может остановить от неконтролируемого размножения, и развивается опухоль. Но если человек — животное крупное и может позволить себе небольшую опухоль, с которой будет бороться иммунитет, то у землекопа ставки слишком высоки. Даже маленькая опухоль для него опасна, а на иммунитет нельзя положиться из-за низкой температуры тела. Поэтому у землекопа есть вторая линия защиты от рака: когда белок р53 мутирует, в дело вступает белок р16, также блокирующий деление.
ЖИЛИЩНОЕ УСТРОЙСТВО

Второй способ избежать рака — сделать более прочным межклеточное вещество. Известно, что клетки в организме чувствуют своих соседей и пространство между ними с помощью клеточных контактов. Если с какой-то стороны возникает дырка, клетка начинает делиться. Если же она со всех сторон соприкасается с чем-то жёстким, срабатывает механизм контактного торможения. В опухолевых клетках этот механизм нарушен, поэтому они делятся прямо посреди ткани, сдавливая и разрушая окружающие клетки. Оказалось, что у голого землекопа один из компонентов межклеточного вещества — гиалуроновая кислота — длиннее и прочнее, чем у других взрослых млекопитающих. Поэтому она надёжнее блокирует деление клеток.
МЫ И ОНИ
Список удивительных способностей землекопа вызывает зависть. Хочется спросить, а почему мы так не можем? Или что нужно сделать, чтобы мы тоже жили дольше, а болели меньше?
Увы, полностью повторить подвиг землекопа мы не сможем. Человеческий организм (особенно мозг) требует слишком много энергии — мы не можем позволить себе быть холоднокровными и жить в условиях низкого содержания кислорода. В то же время по сравнению с ближайшими родственниками — обезьянами — мы и так живём немало, в несколько раз дольше, чем они. И учёные полагают, что дело здесь не только в развитии медицины. Возможное объяснение кроется в эволюционном процессе, который роднит нас с землекопами, — неотении.
При неотении часть особей начинает размножаться раньше срока, то есть преждевременно достигает половой зрелости. Иногда это приводит к образованию двух групп в популяции — взрослых и размножающихся детёнышей, как у саламандр (их неотенические личинки называются аксолотлями). В других случаях, когда неотеническая группа начинает эволюционировать отдельно от взрослых, это заканчивается образованием нового вида. Считается, что именно так могли возникнуть землекопы. И действительно, если сравнить голого землекопа и крысу, мы увидим, что взрослый землекоп больше напоминает детёныша, чем взрослую же крысу. Причём сравнение можно проводить не только на уровне внешних признаков; похожи и работающие в клетках гены, и особенности обмена веществ, строения тканей. Таким образом, голого землекопа можно назвать неотенической крысой. И это помогает объяснить феномен его вечной молодости: организм взрослой особи работает так же, как детский, а значит, более пластичен, быстрее восстанавливается и меньше подвержен поломкам.
Аналогичная гипотеза была высказана про человека. Взрослый Homo sapiens по многим параметрам тоже походит скорее на детёныша обезьяны, чем на половозрелое животное. Так что, скорее всего, мы неотенические обезьяны. И именно поэтому живём дольше родственников-приматов. В некотором смысле мы, как и голый землекоп, вечные дети.